- Tel.: 0211 - 602 99 49
- hautundlaser@gmx.de
- Bankstraße 6| 40476 Düsseldorf


Teleangiektasien (rote Äderchen) sind mit bloßem Auge sichtbare, irreversibel erweiterte Kapillargefäße der Haut. Sie finden sich meistens im Gesicht (vor allem an der Nase und an den Wangen), am Dekolleté, im Bereich der Rippenbogen, oder an den Handrücken. Sehr viele Menschen sind davon betroffen. Teleangiektasien finden sich typischerweise bei Menschen, die folgenden Provokationsfaktoren verstärkt ausgesetzt sind: Sonne, Solarium, Sauna, Kälte, Frost, Alkohol. Weiterhin besteht eine gewisse genetische Disposition.

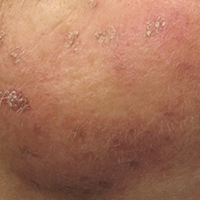
Manchmal zeigen sich die erweiterten Teleangiektasien (rote Äderchen) auch an anderen Körperteilen – so wie hier seitlich am unteren Brustkorbbereich.
Wie lange dauert die Laserbehandlung von roten Äderchen?
Je nach Größe des Behandlungsfeldes dauert eine Sitzung zwischen 15 und 30 Minuten.

Das Dekolleté ist auch sehr anfällig für die Bildung von erweiterten Äderchen; hier werden neben kleinen Teleangiektasien auch sogenannte spinnenförmige Muttermale (Spider-Nävi) gezeigt.
Was ist ein Nävus? Was sind Nävi?
Ein Nävus ist eine Sammelbezeichnung für umschriebene, gutartige Haut- oder Schleimhautfehlbildungen. Die häufigsten davon sind die bräunlich eingefärbten Nävi (Vermehrung der pigmentbildenden Zellen), wie Muttermale bzw. Leberflecken, sogenannte Pigmentnävi. Sie werden es bestimmt schon erraten haben: Nävi ist die Pluralform von Nävus.

Wie erfolgt eine Behandlung mit Laser bei roten Äderchen?
Die Entfernung von roten Äderchen erfolgt mit Hilfe eines speziellen Gefäßlasers (Nd-YAG-, Farbstoff-Laser) oder auch von IPL-Geräten (intensive pulsed light). Mit den Laserarten können vor allem kleinere und dünnere Äderchen, aber auch Blutschwämmchen erfolgreich behandelt werden.
Die Haut wird vor der Laserbehandlung gereinigt und etwas gekühlt. Die Augen werden durch spezielle Bleischalen geschützt. Anschließend werden alle sichtbar erweiterten Äderchen mit ca. 0,5 bis 1 mm breiten Laserschüssen koaguliert (Laserkoagulation). Die Laserschüsse werden nicht überlappend gesetzt, sondern mit einem kleinen Abstand, so dass die Haut über den Gefäßen nicht zu sehr strapaziert wird.
Was geschieht bei einer Laserkoagulation?
Bei einer Laserkoagulation erfolgt eine thermische Denaturierung von Gewebe. Dieses chirurgische Therapieverfahren wird vorzugsweise in der Augenheilkunde und bei Hautfehlbildungen eingesetzt.

Zur besseren Übersicht teilt der Therapeut bei der Laserbehandlung von Teleangiektasien im Gesicht die Haut in Felder auf. So wird vermieden, dass ein Hautareal mehrfach therapiert wird.

Blutschwämmchen (Hämangiome, Angiome) lassen sich durch eine einzige Sitzung mit der Laserkoagulation entfernen. Die Behandlung ist völlig unkompliziert.

Besenreiser entstehen bei Erweiterung von kleinen Blutgefäßen, welche direkt unter der Hautoberfläche liegen. Besenreiser treten vorzugsweise an den Beinen auf. Es werden ganz feine rötliche, feine bis mittelbreite rötlich-violette bis hin zu breiten violett-bläulichen unterschieden. Je nach Farbe, Tiefe und Breite der Gefäße werden unterschiedliche Laser zur Therapie eingesetzt.
Wie lange dauert eine Laserbehandlung bei Besenreiser?
Je nach Farbe und Dicke der Gefäße werden drei bis acht Sitzungen zur kompletten Entfernung benötigt. Die einzelne Sitzung dauert 20 bis 40 min.
Sollte man Besenreiser grundsätzlich behandeln lassen?
Besenreiser müssen im Gegensatz zu die Funktion beeinträchtigenden Krampfadern nicht unbedingt entfernt oder behandelt werden. Doch schön sehen sie gerade nicht aus. Wer etwas auf sein äußeres Erscheinungsbild hält, sorgt frühzeitig für Abhilfe. Hier gilt der Spruch unserer amerikanischen Kollegen: “Kill the monster while it’s little!” Frei übersetzt: „Beseitige das Übel, so lange es klein ist!”

Die Region um die Knöchel ist eine häufig betroffene Lokalisation für Besenreiser. Bei Stauungssymptomen, Schmerzen oder anderen Missempfindungen sollte vor einer Lasertherapie immer eine Abklärung der Funktionsfähigkeit der tiefen Beinvenen mit dem Ultraschall erfolgen.
Siehe auch:
Wie kann ich Besenreisern an den Beinen vorbeugen?

Typisches Bild von Besenreisern an der Oberschenkelrückseite. Diese röt-lich-violetten Venen sind optimal für die Lasertherapie geeignet.
Siehe auch:
Siehe auch: Wie kann ich Besenreisern an den Beinen vorbeugen?

Direkt nach der Lasertherapie ist die Haut entlang der Laserbahnen etwas gereizt. Diese Reizung verblasst innerhalb von zwei bis drei Tagen. Danach bilden sich feine Krusten, die dann nach ca. 10 Tagen abfallen.
Wie erfolgt eine Behandlung mit Laser bei Besenreiser?
Die Entfernung von roten, blauen oder lividen Venen erfolgt mit Hilfe eines speziellen Gefäßlasers, wie dem Nd:YAG-Laser. Mit diesem Laser können sowohl ganz feine rote als auch breitere bläulich-livide Venen sehr gut verödet werden. Die Haut wird vor der Laserbehandlung gereinigt und etwas gekühlt. Die Augen werden durch spezielle Bleischalen geschützt. Anschließend werden alle sichtbar erweiterten Äderchen mit ca. 1,5 bis 5 mm breiten Laserschüssen koaguliert (Laserkoagulation). Die Laserschüsse werden nicht überlappend gesetzt, sondern mit einem kleinen Abstand, so dass die Haut über den Gefäßen nicht zu sehr strapaziert wird.
Siehe auch: Wie kann ich Besenreisern an den Beinen vorbeugen?

Hier ist eine andere Behandlung dargestellt. Zustand ca. zwei Wochen nach Lasertherapie. Es zeigen sich noch einige feine Krüstchen entlang der gela-serten Bahnen.
Wie groß sollte der Abstand zwischen den Lasersitzungen sein?
Zwischen den einzelnen Sitzungen sollte immer ein Abstand von drei bis vier Wochen liegen.
Was ist nach einer Lasertherapie von Beinvenen zu beachten?
Unmittelbar nach der Behandlung sollten Sie Kompressionstrümpfe der Klasse II tragen und ca. 30 min spazieren gehen. Diese Kompressionstherapie sollte im weiteren Verlauf tagsüber für einen Zeitraum von 3 – 4 Tagen erfolgen. Ca. eine Woche nach Therapie werden die Beine täglich mit Heparin-Gel oder –Creme behandelt. UV-Licht sollte gemieden werden, da ansonsten die behandelten Hautareale zu Hyperpigmentierungen (Pigmentflecken) neigen könnten..
Tragen auch Sie im Sommer gerne Shorts oder kurze Röcke?
Dann vereinbaren Sie einen Termin in unserer Praxis, um einen optimalen Therapieplan für Ihre Besenreiser zu erstellen. Wir behandeln das ganze Jahr über die Besenreiser mit dem Laser. Die perfekte Zeit, in der Ihre Besenreiser behandelt werden können, gibt es nicht. Nur die Urlaubsplanung und das Freizeitverhalten schränkt die Terminierung ein. Vor und nach Lasertherapie sollte kein UV-Licht auf die zu behandelnde oder gelaserte Haut scheinen. Insofern muss dies in den Therapieplan mit einfließen. Zwischen den einzelnen Lasersitzungen sollte je eine Pause von drei bis vier Wochen liegen. Falls z.B. die Beine vorne und hinten therapiert werden, dann bietet sich an, im Intervall von 2 Wochen zu therapieren (einmal die Beine vorne, dann die Beine hinten – so kommt man schneller voran).
Siehe auch: Wie kann ich Besenreisern an den Beinen vorbeugen?

Die Alternative zur Lasertherapie ist die klassische Therapie mit Sklerosierungsmitteln. Hierbei wird (selten auch unter lokaler Betäubung) ein Sklero-sierungsmittel (z.B. Äthoxysklerol) mittels einer sehr dünnen Kanüle in die einzelnen Venen injiziert. Wenn der zentrale Anteil des Venengeflechtes getroffen wird, aus dem sich die Besenreiser fächerförmig entfalten, kommt es zu einem optimalen Durchfluten des Verödungsmittels in die erweiterten Venen. Das Verödungsmittel löst eine lokale Entzündung der Venenwände aus, wodurch diese verkleben.
Die Erfolge sind nach wie vor sehr gut. Ob die Lasertherapie oder die Sklerosierung oder sogar die Kombination aus beiden Therapien eingesetzt wird, ist immer eine individuelle Entscheidung.
Was ist eine Sklerosierung?
Eine Sklerosierung ist ein medizinisches Verfahren, um krankhaft veränderte bzw. unerwünschte Adern zu verschließen. Es wird zum Beispiel zum Veröden von Besenreiser und Krampfadern eingesetzt. Sklerosierung wird auch Sklerotherapie oder Verödung genannt.
Was ist nach einer Venenverödung mit Sklerosierungsmitteln an den Beinen zu beachten?
Unmittelbar nach der Behandlung legen wir Ihnen einen Kompressionsstrumpf an, den Sie für mindestens 24 Stunden tragen sollten. Das gilt auch für die Nachtstunden. Wir raten dazu, diesen Strumpf noch eine Woche lang tagsüber zu tragen. UV-Licht sollte gemieden werden, da ansonsten die behandelten Hautareale zu Hyperpigmentierungen neigen könnten.

Diese Stirn zeigt eine Ansammlung von vielen Talgdrüsenhyperplasien und einigen Altersflecken. Diese Talgdrüsenschwellungen werden mittels Laserkoagulation verschrumpft, die Altersflecken mittels selektiver Photothermolyse entfernt. So lässt sich nach zwei bis drei Therapien ein homogenes Hautbild erzielen.

Basalzellkarzinom (superfizieller Typ) an der Rückenhaut. Die Therapie der Wahl ist die operative Entfernung oder die photodynamische Therapie. In speziellen Fällen (ältere Patienten, schlechte Verfügbarkeit, schneller Therapiewunsch ohne Rücksicht auf Ästhetik) kann aber auch die Laserablation eine sinnvolle Therapiealternative darstellen.
Wodurch unterscheiden sich die verschiedenen Lasertherapien?
Man unterscheidet verschiedene Laseranwendungen:
Laserablation (Zielstruktur = Wasser) (Abtragen von Gewebe) z.B. Glätten von gutartigen Muttermalen
Laserkoagulation (Zielstruktur = Hämoglobin) (thermisch herbeigeführter Zelltod) Veröden von Gefäßen, z.B. bei der Therapie von Äderchen im Gesicht
Laserepilation (Zielstruktur = Melanin) z.B. dauerhafte Haarentfernung
Laservaporisation (Zielstruktur = jegliches Gewebe) (Verdampfen der Haut durch lokale Erhitzung) z.B. bei der Therapie von Warzen
Je nachdem, welche biologische Wirkung die Laserstrahlen auf das Gewebe haben sollen, bzw. welche Zielstruktur behandelt werden soll, verändern wir bei unseren speziellen Lasern Parameter, wie die Wellenlänge, die Intensität, die Pulsdauer und Pulsfrequenz.

Verrucae vulgares stellen eine sehr häufige Viruserkrankung (mit humanen Papillomviren) dar. Insbesondere Kinder sind überdurchschnittlich häufig betroffen. Typische Körperstellen sind Hände und Gesicht. Das Ziel einer jeden Warzentherapie ist die komplette Entfernung des gesamten Virusmaterials, ansonsten kommt es häufig zu Rezidiven (Wiederauftreten der Warzen).
Die Laservaporisation der Warzen hat sich hierbei als effektivste Therapie etabliert. Vor der Lasertherapie kann es manchmal hilfreich sein, die Warzenmassen durch Betupfen mit Säuren zu verkleinern. Hierzu wird eine säurehaltige Lösung selektiv auf die Warzen getupft. Dies erfolgte (je nach Produkt) ein- bis mehrmals pro Tag. Nach einer Behandlungsdauer von 2 bis 3 Tagen werden die aufgeweichten Hornmassen in der Praxis mit einem Skalpell oder einem scharfen Löffel schmerzfrei abgetragen. Nur der restliche tief liegende Warzenanteil wird dann (nach einer Pause von den Lösungen von einer Woche) gelasert (so bleibt das wunde Hautareal möglichst klein).
Was ist eine Warzen-Laservaporisation?
Eine Warzen-Laservaporation ist die Zerstörung des Warzengewebes mit Hilfe von Laserstrahlen (Verdampfung durch lokale Erhitzung).

Hier sieht man eine Fußsohle, die mit einer großen und sechs kleinen Verrucae plantaris befallen war. Direkt nach Laservaporisation (Verdampfen der Haut durch Erhitzung) lassen sich die flachen Laserkrater erkennen. Da die Warzen wie ein Keil in die Haut wachsen, ist es wichtig vor allem in der Mitte ausreichend tief zu therapieren.
Die folgenden drei Tage muss das therapierte Hautareal geschont werden. Im Prinzip ist man voll einsatzfähig; dennoch sollte für eine Woche lediglich eine geringe Belastung erfolgen. Gewöhnlich heilen diese Wunden erstaunlich schnell ab.

Es gibt nicht nur flache, in der Haut liegende Muttermale, sondern auch dermale Nävi, zumeist kugelförmige Muttermale. Oft sind die dermalen Nävi im Gesicht zu finden. Viele Patienten fühlen sich durch die Wucherungen im Gesicht gestört. Eine Entfernung mittels Laserablation (Abtragen von Gewebe) ist völlig harmlos, schnell und erfolgreich.

Dieses Bild zeigt einen anderen Patienten, bei dem zwei dermale Nävi mit der Laserablation (Abtragen von Gewebe) behandelt worden sind. Es zeigt sich eine Beschaffenheit wie bei einer Schürfwunde. Nach ca. zwei Wochen sind die Laserstellen komplett verheilt.

Lentigines senilis zeigen sich oft in verschiedenen Farben: hellbraun, dunkel-braun, aber auch rötlich oder schwarz. Gemeinsam haben alle, dass man diese nicht ertasten sondern nur sehen kann. Die Therapie der Wahl von Lentigines ist die selektive Photothermolyse mit Laser (z.B. mit einem Nd:YAG-Laser und einer Wellenlänge von 532 nm).

Sofort nach der Lasertherapie (hier an den Wangen) zeigt sich ein weißlicher Schorf. Dieser geht innerhalb der folgenden Minuten bis Stunden in einen bräunlichen Schorf über. Nach ca. 10–14 Tagen fallen die sehr feinen, pigmentierten Krüstchen (diese ähneln einem Zigarettenpapier) ab.

Gutartige Muttermale sollten mit dem Laser nur nach genauester Untersuchung (z.B. Videoanalyse) entfernt werden. Oftmals stellen sich Patienten vor, die extrem viele Muttermale oder Flecken haben. Diese gepunktete Haut empfinden die Patienten dann als ästhetisch problematisch und leiden darunter.
Vor der geplanten Entfernung müssen alle Muttermale, die geringste Auffälligkeiten zeigen, markiert und von der Lasertherapie ausgeschlossen werden. Hier sieht man den Zustand unmittelbar nach der selektiven Photothermolyse mit Bildung des weißlichen Schorfes.

Muttermale mit Unregelmäßigkeiten bzw. sogenannten Rückbildungszeichen dürfen nie mit dem Laser entfernt werden, sondern werden immer operativ entfernt.

Hypertrichosis kann erblich veranlagt oder auch krankhaft bedingt sein. Oft leiden die Patienten sehr stark unter der verstärkten Behaarung. Bei Frauen findet sich oftmals das Bild von dunklen und festen Haaren am Kinn und an der Oberlippenregion. Im Bereich der Wangen ist die Haarstruktur eher weich. Ganz gleich ob weiches oder festes Haar, die Hypertrichosis ist im wahrsten Sinne des Wortes eine „haarige Sache“. Sie tritt bei süd- und ost-europäischen Völkern stärker auf, weiterhin können Hormonveränderungen ursächlich sein. Zudem ist eine Vermehrung der Behaarung bei Damen nach der Menopause häufig anzutreffen. Die Laserepilation (Haarentfernung mittels Laser) ist die beste Technik für einen dauerhaften Erfolg.

Die Laserepilation (Haarentfernung mittels Laser) führt unmittelbar nach Therapie zu einer Reizung der Haarfollikel mit Rötung und Schwellungen, die Quaddeln gleichen. Nach wenigen Stunden hat sich das behandelte Hautareal wieder beruhigt. An ein und derselben Stelle muss die Laserbehandlung ca. drei bis achtmal durchgeführt werden (Abstand der jeweiligen Therapiesitzungen: 3 -4 Wochen).

Verrucae seborroicae (Alterswarzen) sind im Vergleich zu Lentigines (Altersflecken) erhaben. Man kann diese Veränderungen also fühlen. Oft zeigt sich die Oberfläche etwas unregelmäßig oder auch rau. Alterswarzen werden mit zunehmenden Alter immer mehr und größer. Farblich umfassen diese ein Spektrum von hellbraun, dunkelbraun, schwarz, grau bis rötlich sowie auch hautfarbig.

Hier zeigen sich massenweise hautfarbige bis hellbraune Erhebungen im Bereich des Dekolleté. Die Entfernung erfolgt je nach Größe mit Laserablation (Abtragen von Gewebe) alleine oder zusätzlich mit einleitend tangentialem Abtragen.

Verrucae seborrhoicae verschiedener Farben: hellbraun, dunkelbraun, schwarz. Die gesamten Alterswarzen ließen sich mit einer Sitzung Laserablation (Abtragen von Gewebe) entfernen. Manchmal kann es sein, dass einige Reste bleiben, die dann in einer zweiten Sitzung (nach vier Wochen) problemlos komplett behandelt werden.

Onychomykose (Nagelpilz) – der Befall der Finger- oder Zehennägel mit Pilz – hier des rechten Großzehennagels. Nagelpilzinfektionen sind eine Volkserkrankung.
Früher wurden hauptsächlich systemische Antimykotika und diverse Nagel-lacke zur Therapie des Nagelpilzes verwendet. Seit ca. 10 Jahren hat sich die selektive Laser-Photothermyloyse etabliert. Aber auch diese alleine ist nicht allheilend.
Mittlerweile kann man zusammenfassen, dass die beste und vor allem körperschonendste Therapie ein Zusammenspiel aus optimaler Pediküre, Nagellackapplikation und Lasertherapie ist.
Teleangiektasien (rote Äderchen) sind mit bloßem Auge sichtbare, irreversibel erweiterte Kapillargefäße der Haut. Sie finden sich meistens im Gesicht (vor allem an der Nase und an den Wangen), am Dekolleté, im Bereich der Rippenbogen, oder an den Handrücken. Sehr viele Menschen sind davon betroffen. Teleangiektasien finden sich typischerweise bei Menschen, die folgenden Provokationsfaktoren verstärkt ausgesetzt sind: Sonne, Solarium, Sauna, Kälte, Frost, Alkohol. Weiterhin besteht eine gewisse genetische Disposition.
Lesen Sie hier …
Unser Gefäßsystem ist maßgeblich am Prozess der Hautalterung beteiligt. Die Erweiterung und die verminderte Elastizität der Blutgefäße haben eine geringere Durchblutung und Versorgung der Haut mit Nährstoffen zur Folge.
Die Teleangiektasien lassen sich ausschließlich durch eine Lasertherapie effektiv und nebenwirkungsarm entfernen. Die Applikation diverser Cremes führt zu keiner Heilung der Äderchen. Cremes können aber helfen die rote Gesichtsfarbe abzuschwächen. Hier gibt es vielfältige gut Produkte auf dem Markt.
Couperose (Kupferrose) ist eine anfängliche Stufe von Rosazea (Kupferflechte). Wer unter Couperose leidet, muss nicht zwangsläufig die chronisch verlaufende Rosazea bekommen. Wer jedoch bereits mit der Rosazea zu kämpfen hat, hat bereits die Couperose durchlebt. Die Couperose entspricht im Wesentlichen der Stufe I einer Rosazea.
Rosazea II Grades oder Rosazea III Grades ist in seiner Ausprägung deutlich stärker als Couperose. Papeln und entzündliche Pusteln neben den erweiterten Äderchen kennzeichnen die Rosazea vom Typ II. Bei der Typ III der Rosazea liegt zusätzlich noch eine Knollennase (Rhinophym) vor. Derartig aufgetriebene, mit Talgfollikeln durchzogene Nasenwucherungen trifft man heutzutage aber immer seltener an, da die frühen Formen der Rosazea zumeist rechtzeitig behandelt werden.
Die Entfernung von roten Äderchen erfolgt mit Hilfe eines speziellen Gefäßlasers (Nd-YAG-, Farbstoff-Laser) oder auch von IPL-Geräten (intensive pulsed light). Mit den Laserarten können vor allem kleinere und dünnere Äderchen, aber auch Blutschwämmchen erfolgreich behandelt werden.
Die Haut wird vor der Laserbehandlung gereinigt und etwas gekühlt. Die Augen werden durch spezielle Bleischalen ge-schützt. Anschließend werden alle sichtbar erweiterten Äderchen mit ca. 0,5 bis 1 mm breiten Laserschüssen koaguliert (Laserkoagulation). Die Laserschüsse werden nicht überlappend gesetzt, sondern mit einem kleinen Abstand, so dass die Haut über den Gefäßen nicht zu sehr strapaziert wird.
Je nach Größe des Behandlungsfeldes dauert eine Sitzung zwischen 15 und 30 Minuten.
Bei einer Laserkoagulation erfolgt eine thermische Denaturierung von Gewebe. Dieses chirurgische Therapieverfahren wird vorzugsweise in der Augenheilkunde und bei Hautfehlbildungen eingesetzt.